医院资讯
热点文章
医院新闻
“一石二鸟”!泌尿外科微创技术同日拆除患者腰间“两颗雷”
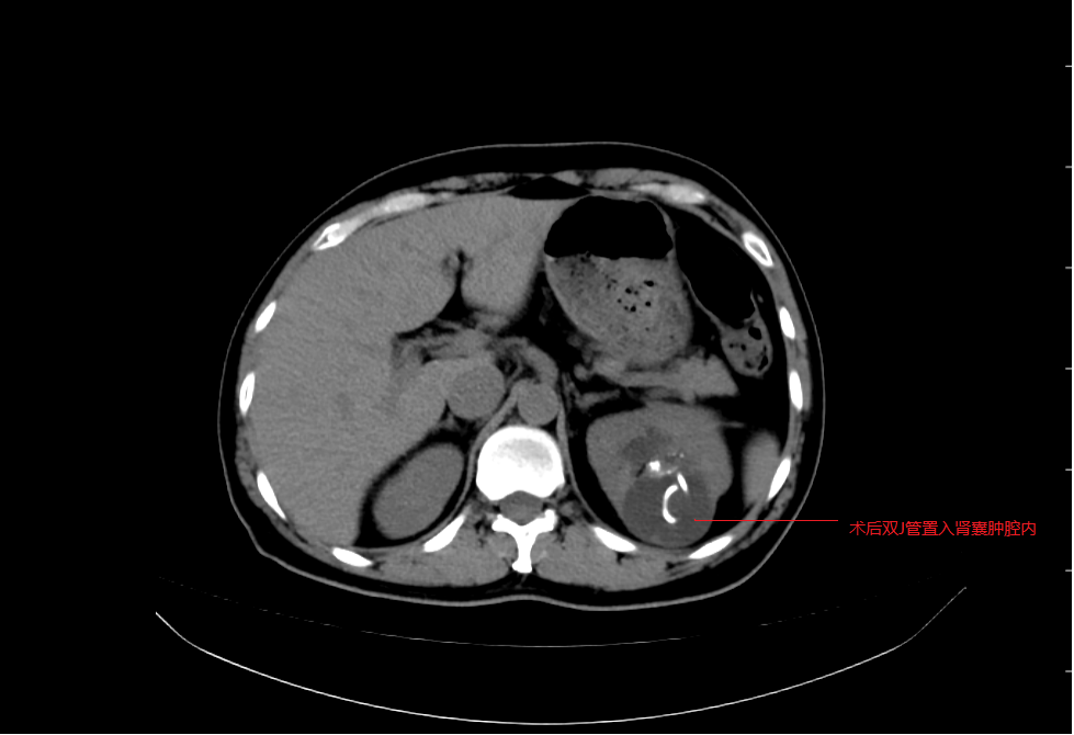
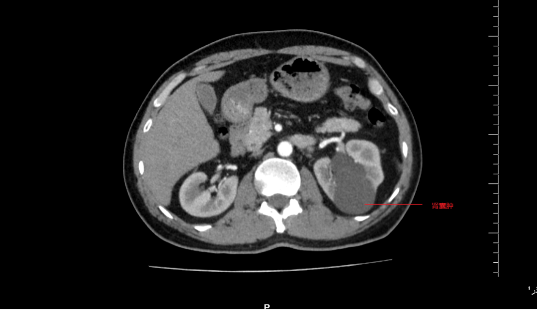
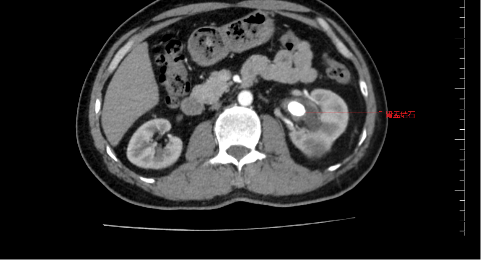
本以为是普通的腰疼,没想到检查发现左肾里竟同时藏着“结石”和“大囊肿”两个隐患。近日,一名47岁的男性患者在阳山县人民医院泌尿外科接受了左输尿管软镜下钬激光碎石取石术,同时通过经尿道输尿管软镜下肾囊肿内切开引流术,一次手术解决了两个棘手问题。术后患者恢复迅速,已顺利出院。 体检发现“双雷”埋伏 47岁的张先生(化名)最近因腰部不适来我院就诊。原本以为只是劳累所致,没想到B超和CT检查结果却让他大吃一惊:他的左肾不仅有多发结石,还长了一个巨大的肾囊肿。 这种情况在临床上并不少见,但同时处理起来却颇为棘手。泌尿外科医生介绍,传统的治疗方案往往需要“分步走”:要么先通过经皮肾镜(在腰上打孔)处理结石,后期再处理囊肿;要么通过腹腔镜手术“剥”掉囊肿,但对结石却难以兼顾。这意味着患者可能要经历两次手术、两次麻醉,不仅身体创伤大,恢复周期长,也增加患者经济负担。 巧妙设计:“借道”尿道,一箭双雕 考虑到患者年仅47岁,对生活质量要求高,且非常希望避免在身体上留下多处疤痕,我院泌尿外科团队经过详细的术前讨论,决定为其实施输尿管软镜下的一期手术。 这个手术的奥妙在于“借道而行”。医生利用人体天然的泌尿系统腔道——尿道,将纤细灵巧的输尿管软镜送入肾脏。 1. 先碎石: 抵达左肾后,医生首先发现了那些“捣乱”的结石。通过软镜的工作通道,插入钬激光光纤,将结石精准击碎成粉末状或小碎片,较大的碎片可直接用套石篮取出 。 2. 后开窗: 碎石完成后,镜头一转,找到了那个压迫肾实质的囊肿。在软镜的直视下,医生换用钬激光在囊肿壁最薄、最靠近肾集合系统的位置切开一个“小窗”,让囊液能够顺畅地流入肾盂,顺着尿液排出体外,从而达到内引流减压的目的 。 就这样,一根软镜,两种操作,患者腰上的两颗“雷”被一次性安全拆除。 微创领域的“黑科技” 输尿管软镜技术被誉为泌尿外科医生的“第三只眼”。其头端可以 270度弯曲,能轻松到达肾脏的各个角落,处理传统硬镜无法触及的结石和病变 。 而将其应用于肾囊肿内切开引流,更是近年来微创理念的延伸。相比于传统的腹腔镜或开放手术,这种术式拥有无可比拟的优势 : 真正无痕: 手术完全经自然腔道进行,体表没有任何切口,满足了现代患者对美观的需求。 同期治疗: 如张先生这般,可以一次麻醉处理多个合并疾病,避免了二次住院的麻烦。 恢复迅速: 由于手术创伤极小,患者术后疼痛轻。文献数据显示,此类手术患者术后住院天数通常仅为3天左右 。张先生术后恢复顺利,很快便康复出院。 术后康复与新生活的开始 术后,张先生的腰部胀痛感明显缓解。复查显示,左肾结石已清理干净,囊肿也已成功“瘪”了下去。他感慨地说:“原本以为要在身上打两个洞,甚至做两次手术,没想到睡一觉起来,两个问题都解决了,身上连个创可贴都没贴。” 此次手术的成功,标志着我院泌尿外科在处理肾脏复合性疾病方面迈上了新台阶。我们也将继续探索和运用更先进的微创技术,让更多的患者能享受到“损伤小、恢复快、效果佳”的优质医疗服务。 门诊地址:门诊楼2楼泌尿外科诊室 住院部地址:外科楼(5号楼)9楼 联系电话:0763-7816525 杨竞锋 主任医师 阳山县人民医院泌尿外科主任,主任医师。广州医科大学临床医学专业毕业,1993年7月参加工作。从事大外科临床工作10余年,泌尿外科专科工作10余年。曾多次在广州市三甲医院进修泌尿外科专业。擅长尿路结石及良性前列腺增生微创治疗,熟练开展前列腺整体剜除术等四级手术,临床经验丰富。现任清远市医学会泌尿外科分会常务委员,清远市医学会男科分会委员,广东省泌尿生殖尿控分会委员。曾主持市级课题2项,以第一作者或通讯作者发表论文近10篇。 封长其 副主任医师 阳山县人民医院泌尿外科副主任,副主任医师,医学学士,2008年毕业于贵州医科大学临床医学系。从事泌尿外科临床、教学工作10余年,2018年到广东省第二人民医院泌尿外科进修,以第一作者发表省级医学论文多篇,擅长泌尿系结石、前列腺增生的微创手术,擅长泌尿外科常见开放手术治疗,熟悉泌尿外科腹腔镜手术,对泌尿外科急危重患者管理积累了丰富的经验。对泌尿外科肿瘤(如肾癌、膀胱癌、前列腺癌、肾上腺肿瘤)以及泌尿系畸形的治疗及手术亦积累了较多经验。 陈宇航 副主任医师 阳山县人民医院泌尿外科副主任医师,科室技术骨干,广州医学院临床医学本科,2001年7月参加工作,擅长泌尿外科常见病、多发病诊治及微创手术。
